“几年时间了,一刷牙就往外「吐血」,牙龈出血的频率比大姨妈还要频繁⊙﹏⊙。然后各种勤刷牙,各种下火药,各种VB药,漱口水,依然挡不住「牙龈出血」。有时候刷完牙,他们集体出血啊,感觉像吸血鬼一般”。小编一朋友说道。
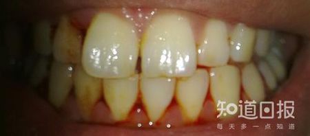
不废话,上图。
![]()
看完图片的同学有木有觉得很恐怖?话说,你们的牙龈是不是也经常出血呢?但是你们不知道究竟是何原因导致出血?今天小编就科普下「牙龈出血」的相关知识。
先来看下健康的牙龈是酱紫滴。
![]()
健康的牙龈呈粉红色,质地柔韧(这个韧非常重要),如果你的牙龈经常红肿,充血,有松软感,那表明牙龈遇到「麻烦」了。
牙龈出血的原因很多,仔细看看哦。
一、口腔方面(牙龈炎、牙周炎)
牙龈出血最常见的原因就是「牙龈炎」和「牙周炎」,这是由于平时口腔卫生不佳,大量的牙菌斑「日积月累」后堆积成刺激牙龈的「牙结石」,牙结石很难用牙刷刷掉,所以牙结石会不断刺激牙龈,造成牙龈发炎,出血、牙龈萎缩,牙齿松动等。?
![]()
二、全身性疾病
有些全身性疾病也能引起牙龈出血,像「白血病」「糖尿病」「血友病」「脾功能亢进」「恶性贫血」「肝硬化」等。如果牙龈反复出血,或皮肤时常出现一些青紫色的斑点,同时脸色发黄、全身无力等症状,就应该及时做血液、肝功能等相关检查。
三、其他(刷牙方式、经期、妊娠期)
刷牙时用力过猛会导致牙龈出血,这个小编就不多说,你知道该怎么做。女性在经期、妊娠期出血牙龈出血,是因为平时存在轻度的牙龈炎,当体内雌激素增高时,牙龈发炎,出血的症状就加重,还可能与维生素缺乏及牙结石有关。
【赐你良方】
了解完牙龈出血原因,就要「对症下药」了。
一、牙结石引起的牙龈出血
牙结石引起的牙龈出血,那你就必须去洗牙咯,清除刺激牙龈的「罪魁祸首」,如果已经发展成牙周炎的朋友,牙周炎没有根治的方法哦,只能慢慢控制改善,必要时要采取龈上洁治术,龈下刮治术等治疗方法,最后还要配合相关治疗。
当然,洗牙无害,洗牙无害,洗牙无害,重要事情说三遍,我们需要重点注意的就是洗牙器械的消毒问题。
![]()
二、全身疾病导致的
这个你就得去医院检查咯。
三、洗牙后还是出血
小编告诉你个好方法,1、换个牙膏,用舒适达(不是广告);2、换个牙刷,最好是电动牙刷,3、刷牙方法有待改变,可用国际通用的巴氏刷牙法(具体步骤找度娘去);4、买瓶漱口水,但不要经常使用哈;5、最后你的饮食要改变一些了,不要天天易上火的菜,恩,就这样。
看完文章知道牙龈出血没那么简单了吧!记住,预防永远大于治疗,所以在平时,大家一定要注意口腔健康,定期检查,洗牙(告诉你们一个好消息,在深圳的朋友,可关注微信“乐莎莎”,小编送几张免费洗牙劵给你们哦,消灭可恶的牙结石~)。当然,小编写这些文章的目的是传播正确的口腔知识,让更多童鞋不被错误的观念误导。

版权声明:除注明外均收集于互联网,如有侵权请及时联系我们处理!
国美回应央视315晚会曝光问题:将严查违规...
通讯:在这里,霍金的乐观幽默依旧留在人们心中--- 霍金享年76岁,伯吉斯的父亲2011...
色香味俱全是一道美味菜肴具备的特征,而作为食材或者说种子的黑皮花生却俨然已经具备了...
成人烫发已经成为一种潮流,但有部分妈妈竟然给小孩也跟一下潮流——烫发。现在大家都追...
发病没那么“突然”,脑溢血有6大征兆相信很多人都听说过脑溢血这种心脑血管疾病,它发病...
央视2016年315晚会今日举行,晚会曝光了网购刷单内幕。央视315记者在淘宝上开了一个卖面膜的...