(羟)氯喹是系统性红斑狼疮(SLE)治疗中非常重要的药物之一,在临床上已应用多年,一直认为其安全性良好。近期 Kidney International 杂志上刊登了一例由奥地利维也纳医科大学肾脏和透析中心的专家们报道的一例(羟)氯喹诱导的肾脏磷脂质病例,我们一起来学习一下。
病史简介
一位 26 岁的菲律宾女性患者,9 年前曾被诊断为 SLE。此次再次出现复燃的症状,包括发热、关节痛、皮疹、复发性肾炎(IV/V 型)和全血细胞减少症。过去她曾经接受过糖皮质激素、氯喹、环磷酰胺、硫唑嘌呤、吗替麦考酚酯和美罗华治疗。目前她在使用的免疫抑制药物有硫唑嘌呤和羟氯喹。
在门诊常规随访过程中,观察到新发的大量蛋白尿(6.9 g/24 h)。患者无明显症状,体格检查也没有任何疾病特异性的发现。值得注意的是,实验室检查结果显示低蛋白血症(25.2 g/L;之前的检查结果正常)、双链 dsDNA 抗体水平升高(放免法 126.7 IU/ml,酶联免疫吸附法 392.0 IU/ml;之前分别是 58.8IU/ml 和 106.5 IU/ml)、低补体血症(C3c 25.88 mg/dl;C4<8.0 mg/dl;之前水平均正常)。血清肌酐水平正常。
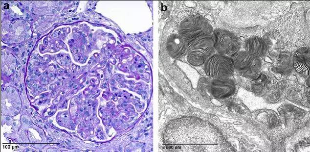
进行了肾活检,证实了由 SLE 导致的肾脏受累的诊断。光镜下组织学结果显示弥漫性狼疮性肾炎 IV-G(A) 型伴膜增生。相应地,患者立即接受了环磷酰胺治疗。令人惊讶的是,电镜结果还显示存在髓样小体,主要分布在系膜区(图 1)。

图 1 a 为光镜,显示弥漫性毛细血管内和系膜区增生性肾小球肾炎伴基底膜双轨征(原始图片放大 200 倍);b 为电镜,显示内皮下和系膜区电子致密物与狼疮相关的免疫沉积物以及髓样/斑马小体共同沉积在系膜细胞内(原始图片放大 12000 倍)。
临床诊断是什么?
诊断:狼疮性肾炎(IV-G 型)和羟氯喹诱导的肾脏磷脂质病
病例讨论
肾脏磷脂质病常常见于 Fabry 病(一种溶酶体储积障碍的疾病)导致的肾脏病。Fabry 病是α半乳糖苷酶 A 的 X 连锁缺陷的一种疾病,会导致溶酶体内半乳糖苷酶蓄积引起终末器官的损伤。肾脏中半乳糖苷酶的沉积来自于溶酶体内的层状膜结构,可在电镜下检测到。这些内涵物也被称为「髓样小体」或「斑马小体」,后者是由于它们洋葱皮样的外观而得名。
本病例中的患者 Fabry 病的可能性被非典型的临床表现、阴性的家族史、正常的白细胞α半乳糖苷酶 A 活性以及缺乏α半乳糖苷酶 A 基因突变所排除了。
肾活检标本中出现髓样小体还与两亲性质的药物(如羟氯喹、氯喹、胺碘酮和氨基糖苷类等)诱导的磷脂质病有关。氯喹和/或羟氯喹是 SLE 长期治疗的基石,两者均被认为是十分安全的药物,但是也可能潜在产生严重的毒性。在几个组织(如眼、肺、肝、肾、脾、心等)中均有描述两种药物的蓄积。
由于药物的两亲性质,它们可能会扩散到溶酶体中。通过质子化,它们被困在溶酶体中,并破坏主要的溶酶体。这种对溶酶体消化的损伤导致细胞内膜脂质和胶原的蓄积,一起共同导致溶酶体体积增加,这是在这种贮积障碍的疾病中常见的一种现象。这些结果在骨骼肌细胞和心肌细胞中同样也有发现、值得注意的是,这两种药物都可能潜在的导致神经肌肉和心脏的毒性。
由于我们的患者已经接受了氯喹和随后的羟氯喹治疗多年,因此上述结果考虑为(羟)氯喹的毒性。给予停止羟氯喹治疗,尤其是有报道停止治疗后髓样小体缓解。
在接受环磷酰胺治疗 5 个月后,最后一次门诊随访,患者呈现出良好的身体情况,蛋白尿显著改善。
版权声明:除注明外均收集于互联网,如有侵权请及时联系我们处理!
国美回应央视315晚会曝光问题:将严查违规...
通讯:在这里,霍金的乐观幽默依旧留在人们心中--- 霍金享年76岁,伯吉斯的父亲2011...
色香味俱全是一道美味菜肴具备的特征,而作为食材或者说种子的黑皮花生却俨然已经具备了...
成人烫发已经成为一种潮流,但有部分妈妈竟然给小孩也跟一下潮流——烫发。现在大家都追...
发病没那么“突然”,脑溢血有6大征兆相信很多人都听说过脑溢血这种心脑血管疾病,它发病...
什么样的苹果醋减肥才好。减肥常喝苹果醋危害不可忽视尽管苹果醋有很多好处,但它确实对...